백신 맞은 확진자의 폐, 깨끗한 모습

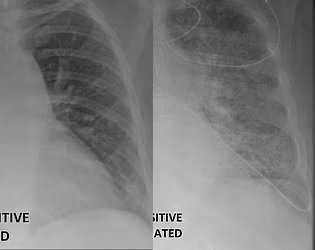
백신 접종한 코로나19 확진자의 폐(왼쪽)와 비접종 확진자의 폐(오른쪽)가 보인 엑스레이(X-Ray). 미국 방송국 KDSK
미국의 한 의사가 신종 코로나바이러스 감염증(코로나19)에 확진된 환자의 엑스레이(X-Ray) 사진을 공개하며 ‘백신의 중요성’을 증명했다.
2일(현지시간) 영국 매체 데일리메일에 따르면 미국 미주리주 세인트루이스대학병원 특수치료시설(ICU) 소속 가산 카멜 박사는 코로나19 백신을 맞지 않은 채 확진된 환자와 맞은 채 돌파 감염된 환자의 폐를 비교했다.

깨끗한 모습을 보인 백신 접종한 환자의 폐(왼쪽)에 비해 뿌옇게 나타난 비접종 환자(오른쪽)의 폐. 미국 방송국 KDSK
그러면서 “이 사진들이 아직 백신 접종을 하지 않은 사람들을 설득하는 데 도움이 되길 희망한다”라며 “마스크를 원치 않는 사람이라면 (확진된 후) 인공호흡기도 쓰고 싶지 않을 것”이라고 백신 접종을 재차 당부했다.

엑스레이 공개한 미국 미주리주 세인트루이스대학병원 특수치료시설(ICU) 소속 가산 카멜 박사. 미국 방송국 KDSK
카멜 박사는 현지 언론과의 인터뷰에서 “백신이 만들어내는 차이를 보여주기 위해 이 엑스레이 사진들을 공개했다”며 “백신 접종을 하지 않은 코로나19 환자는 약물치료와 인공호흡기, 호흡을 위한 삽관 등 생명유지 장치를 필요로 할 수 있다”고 설명했다.
한편 최근 공개된 미국 질병통제예방센터(CDC)의 내부 보고서에 따르면 전파력이 강한 코로나19 델타 변이 바이러스가 백신 접종을 한 사람에게도 바이러스를 옮기는 ‘돌파 감염’을 유발한다는 결과가 나왔다.
다만 일단 백신을 접종하면 중증질환과 사망 위험의 10분의 1 수준으로 줄어든다고 분석했다. 이로써 백신 접종과 별도로 마스크 착용 의무화가 필요하다는 것이다.
국내에서도 첫 ‘델타 플러스’ 감염자가 나오면서 변이 바이러스에 대한 공포는 확산되고 있다. 이날 중앙방역대책본부는 “국내에서 델타 플러스 변이 사례가 2명 확인됐다”라고 밝혔다.
[출처 : 동아일보]
'Etc.(기타) > Info(정보)' 카테고리의 다른 글
| "얀센, 부스터샷 맞으면 첫 접종 때보다 항체 9배" (0) | 2021.08.26 |
|---|---|
| 시간 지날 수록 화이자 효과 떨어져… AZ는 거의 비슷” (0) | 2021.08.22 |
| 35°C 넘으면 선풍기 틀어도 효과 없다? 이 상식 뒤집어졌다 (0) | 2021.07.15 |
| 콧물·기침 난다면 의심하라" 2.7배 강한 델타 변이의 정체 (0) | 2021.07.11 |
| 코로나 바이러스, 코 안 섬모세포서 복제- 증식” (0) | 2021.07.02 |