환자 통증-흉터 거의 없는 무지외반증 수술 명의
[우리 동네 베스트 닥터]서상교 SNU서울병원 대표원장
발 관련 수술 4000건 넘는 베테랑… 기존의 5%만 절개 20분만에 끝내
수술직후 보조신발 신고 보행 가능
국제학회 관련논문 최우수상 이력

서상교 SNU서울병원 대표원장이 최소침습 무지외반증 수술에 대해 설명하고 있다. 서 원장은 중증 질환 치료에 우선순위가 밀리는 발 질환 환자들을 위해 SNU서울병원을 열었다고 밝혔다. 원대연 기자 yeon72@donga.com
《서울의 대형병원에만 베스트닥터가 있는 게 아닙니다. 우리 동네에, 또는 나만 아는 실력이 대학병원에 버금가거나 능가하는 의원·병원이 적지 않습니다. 뛰어난 실력과 연구 능력을 갖춰 전국에서 환자가 몰려오는 이런 의사들을 찾아내 ‘우리 동네 베스트닥터’로 소개합니다.》
지난달 30일 서울 강서구 SNU서울병원에서 ‘작은 콘퍼런스’가 열렸다. 부산의 한 정형외과 의사 A 씨가 이 병원 서상교 대표원장(41)의 ‘최소 침습 무지외반증 수술’을 참관했다.
A 씨는 수술실에서 서 원장이 집도한 3건의 수술을 약 1시간에 걸쳐 지켜봤다. 참관이 끝난 후에는 수술과 관련된 토론이 이어졌다. 1시간 동안 A 씨는 서 원장이 시행한 수술 노하우에 대해 물었고, 서 원장은 답했다. A 씨는 “상당히 놀라운 수준이다. 부산에서 이 방법을 시행해 보겠다”고 말했다.
새로운 의료 기술을 시연하는 행사는 흔하다. 주로 대학 병원이나 대형 병원에서 열린다. 하지만 로컬 병원(일반 병원)의 수술 노하우를 배우겠다며 참관하는 일은 드물다. 게다가 SNU서울병원은 지난해 6월 문을 열었다. 이제 1년 4개월을 갓 넘긴 신생 병원이다.
이런 병원의 수술을 참관한다는 것은 그만큼 서 원장의 최소 침습 무지외반증 수술에 대한 관심이 크다는 이야기다. 실제로 서울은 물론이고 멀리 부산, 광주, 제주 등 지역을 가리지 않고 이 병원을 찾는다. ‘동네 병원’이지만 명실상부한 ‘전국구’인 셈이다.
○ 빠른 회복-양쪽발 동시 수술 강점
무지외반증은 엄지발가락이 안쪽으로 휘어지는 병이다. 처음에는 엄지발가락에 통증이 나타나며 신발이 꽉 끼는 듯한 느낌이 든다. 여기서 더 악화하면 신발을 신을 수도, 정상적으로 걸을 수도 없다. 더 심하면 엉덩이관절(고관절)과 척추에 부담을 줘 2차 합병증을 유발하기도 한다. 엄지발가락이 안쪽으로 20도 이상 휘었을 때는 수술을 고려해야 한다. 과거에는 엄지발가락 옆쪽으로 4∼5cm 정도 광범위하게 절개했다. 이어 뼈를 둘러싼 골막을 벗겨낸 후 뼈를 잘라냈다. 골막에는 통증을 느끼는 감각 세포가 많아 수술 후 통증도 꽤 심한 편이었다. 그만큼 회복도 더뎠다.

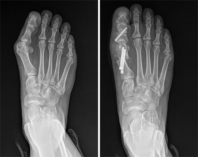
최소침습 무지외반증 수술 전(왼쪽)과 후의 발 X선 사진. SNU서울병원 제공
최근에는 절개를 최소화하는 ‘최소 침습’ 수술이 대세다. 흉터가 작고 통증이 크지 않은 게 장점이다. 서 원장의 경우 엄지발가락 옆쪽에 2mm 크기의 구멍 3개를 뚫는다. 절개 범위가 기존 수술법의 20분의 1 크기다. 이 구멍으로 도구를 집어넣어 실시간 엑스레이 화면을 보면서 뼈를 깎는다. 골막을 건드리지도 않는다. 마지막으로 핀으로 고정하면 수술이 끝난다. 수술에 걸리는 시간은 20분 남짓. 바로 이 수술 기법을 부산의 A 의사가 배우고 간 것이다.
회복 속도가 빠른 것도 이 수술의 장점이다. 서 원장은 “수술 직후부터 보조신발을 신고 보행할 수 있고 2, 3일 후에는 퇴원해 일상생활이 가능하다”고 말했다. 서 원장에 따르면 2주 정도 지나면 상처가 아물고 2, 3개월이 지나면 원래 신던 신발을 편하게 신을 수 있다.
서 원장은 “이처럼 긍정적 효과가 많아 이제는 광범위하게 절개하는 수술을 거의 하지 않는다”고 말했다. 서 원장이 말하는 또 하나의 장점. 양쪽 발 모두에 무지외반증이 생긴 경우 동시 수술이 수월해졌단다. 과거에는 한쪽 발을 수술하면 다른 쪽 발은 2, 3개월 후에 수술했었다. 서 원장은 “환자의 상태에 따라 다르지만 이런 환자의 60∼80%는 양쪽 발 동시 수술을 진행하고 있으며 입원 기간도 4일이면 충분하다”고 했다.
○ 제대로 된 진료하러 대학병원 박차고 나와
서 원장은 의료계에서는 꽤 알려진 의사다. 3년마다 열리는 국제학회인 ‘세계족부족관절학회’에서 2014년 기초 분야 논문 최우수상을 받기도 했다. 이 학회에서 국내 의사가 최우수상을 받은 것은 그가 처음이다. 서 원장은 요즘도 매년 4∼6편의 논문을 꾸준히 발표한다. 수술 경험도 많다. 올 10월까지 4000건 이상의 발 관련 수술을 집도했다. 로컬 병원장으로서는 드문 이력인데, 대학 병원 근무 경험이 큰 발판이 됐다.

서상교 SNU서울병원 원장이 무지외반증 수술을 하고 있다. SNU서울병원 제공
서 원장은 서울아산병원에서 5년 동안 교수로 근무했다. 대학교수로서의 지위를 버리고 개업의들이 다투는 ‘전쟁터’로 뛰어든 셈인데, 이유가 뭘까. 그는 “대학병원에 근무하면서 많이 배웠지만 동시에 안타까움도 컸다”고 말했다.
대학 병원은 중증 환자들이 많다. 발 관련 수술은 대부분 암, 당뇨 등 중증 질환자들의 합병증 치료 목적일 때가 더 많았다. 무지외반증과 같은 족부질환자는 아무래도 순위가 밀릴 수밖에 없다는 것. 게다가 수술실 배정 때도 암이나 심장, 뇌혈관 등 ‘큰 수술’에 밀렸다.
중증 환자가 우선인 대학 병원이니 당연하다면서도 서 원장은 “정형외과 환자들을 대할 때마다 미안함이 적지 않았다”고 말했다. 무지외반증과 같은 질환은 당장 생명에 지장은 없지만 일상생활에 큰 차질을 빚는다. 그 환자들에 대한 처방이 스트레칭이나 의료용 깔창 외에 딱히 없다는 게 안타까웠단다. 게다가 대학병원에서는 2, 3주마다 진료하는 게 쉽지 않았다. 대부분 환자가 2, 3개월을 기다려야 진료를 받을 수 있었다는 것.
로컬 병원을 운영하는 지금은 어떻게 바뀌었을까. 서 원장은 “오롯이 정형외과, 특히 발 관련 환자들에게 집중할 수 있어 만족스럽다”고 말했다. 그는 개원 이후 지금까지 ‘오전 외래, 오후 수술’ 원칙을 지키고 있다. 덕분에 많을 경우 하루에 5, 6명의 환자를 수술할 수 있게 됐다. 수술 환자와는 가급적 2주마다 소통하려고 한다.
○ 코로나 사태에도 환자가 늘어나는 병원
정형외과 병원은 수없이 많다. 경쟁이 치열할 수밖에 없다. 게다가 올해 신종 코로나바이러스 감염증(코로나19)이 확산하면서 환자가 급감했다. 의료계에서는 ‘생존 싸움’이라는 말까지 나온다. 하지만 SNU서울병원은 다르다. 서 원장은 “지난해보다 덜하지만 코로나19 사태 이후에도 환자가 늘고 있다”고 말했다.
비결이 뭘까. 서 원장은 “환자와의 접촉을 늘리는 것”이라고 했다. 이를 위해 휴진을 거의 하지 않는다. 서 원장만 하더라도 지금까지 평일에는 그 어떤 이유로도 쉰 적이 없다. 지난해 말까지만 해도 토요일을 포함해 주 6일 진료를 했다. 심지어 올 추석 연휴 때도 환자를 받았다. 서 원장의 경우 올 9월에 주말 끼고 4일 휴가 간 게 유일한 휴진이라고 했다.
그렇다고 무턱대고 환자만 유치하지는 않는다. 서 원장은 “일부 로컬 병원이 수술을 강권하는데, 당장 수익이 날 수는 있어도 장기적으로는 병원의 신뢰를 떨어뜨린다”고 지적했다. 가령 발목 인대 파열의 경우 서 원장은 오히려 수술을 말린다. 그는 “이 질환은 많게는 70∼80%가 수술하지 않아도 저절로 좋아질 수 있다”며 “경과를 관찰하는 게 먼저”라고 말했다. 서 원장에 따르면 SNU서울병원에서만 매일 평균 3, 4명의 급성 발목 인대 파열 환자가 수술해 달라고 온단다. 그는 “수술하지 말자고 설득하는 게 더 힘들 정도”라고 덧붙였다.
굳이 수술하겠다는 환자를 말리는 데는 이유가 있다. 바로 서 원장의 의료 철학이다. 그는 “환자들이 전문적인 의료 서비스를 수월하고 안전하게 받도록 하려고 병원을 열었다. 이 원칙을 스스로 포기하면 환자, 병원 모두에 도움이 되지 않는다. 앞으로도 이 철학은 바뀌지 않을 것”이라고 말했다.
[출처 : 동아일보]
'Etc.(기타) > History of man (인물사)' 카테고리의 다른 글
| 에르메스 수첩에 담긴 피카소 연인의 비밀 (0) | 2022.03.18 |
|---|---|
| 세계 평화 운동가 틱낫한 스님 열반 (0) | 2022.01.22 |
| ‘인생 분산 투자자’ 서진수 교수 (0) | 2020.10.18 |
| 장욱진 화백 (0) | 2020.05.21 |
| 존 볼턴 (0) | 2020.01.30 |